2025-05-26 14:41:42 by admin
551
【建议颈动脉斑块支架介入术前,行MR-VPD检查(磁共振易损斑块诊断)进行风险评估。】

2019年4月,上海复旦大学附属中山医院的Jiang Lin医生等在The International Journal of Cardiovascular Imaging发了一篇文章:Associations between carotid intraplaque hemorrhage and new ipsilateral ischemic lesions after carotid artery stenting: a quantitative study with conventional multi-contrast MRI,该研究旨在探究斑块内出血(IPH)与颈动脉支架(CAS)术后新的同侧缺血性病变(NIIL)之间的关系,斑块分析系统MRI-PlaqueView为本项研究中的斑块定量分析提供支持。摘要翻译如下:
题目:颈动脉内斑块出血与颈动脉支架术后新的同侧缺血性病变的关系:常规多对比MRI的定量研究
目的:颈动脉斑块内出血(IPH)患者颈动脉支架(CAS)术后脑栓塞的风险仍存在争议。本研究旨在进一步研究IPH与CAS术后新的同侧缺血性病变(NIIL)之间的关系,并对IPH进行体积分析,以预测CAS术后NIIL的风险。
方法:前瞻性研究了117例接受CAS的颈动脉狭窄患者。术前进行多对比度颈动脉MRI扫描,计算IPH体积,斑块处的壁体积(WVplaque)和相对的IPH体积百分比。在CAS之前和之后通过脑DWI评估NIIL。
结果:52名患者出现了NIILs,53名患者鉴定出有IPH。 NIHs在IPH阳性(33 / 53,62.3%)患者中比在IPH阴性患者中更常见(19 / 64,29.7%,p <0.001)。 NIIL阳性和NIIL阴性患者的WV斑块无显著差异(1166.6±432.0 mm3 vs 1124.6±410.4 mm3,p = 0.592)。 NIIL阳性组的IPH体积明显大于NIIL阴性组(252.8±264.9 mm3 vs 59.3±131.1 mm3,p <0.001),相对IPH体积也较高(20.4±19.1%vs 5.7±12.2%),p <0.001)。 ROC曲线显示,183.45mm3的IPH体积是预测NIIL最可靠的分界点,特异性为92.3%,阳性预测值为86.1%。

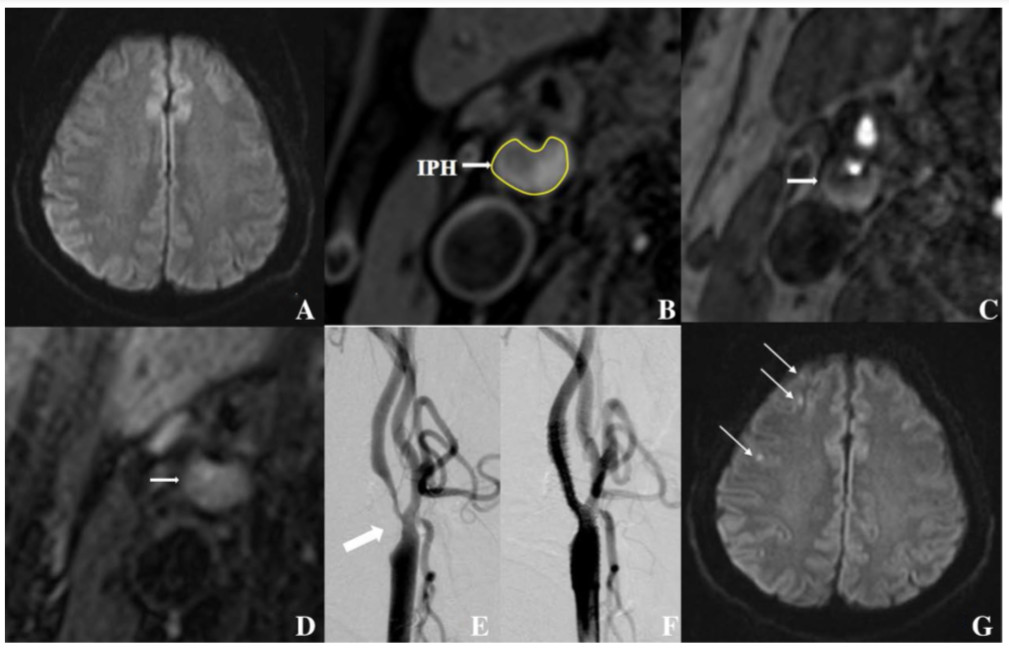
A:CAS术前, 脑DWI
B、C、D分别对应T1,T2,3D TOF 序列血管图像,可见有明显斑块内出血(IPH)
E、F为CAS术前后血管造影图像,可见术后血管已经再通
G:CAS术后, 脑DWI,可见有新的缺血性病变
结论:较大的IPH体积与CAS术后NIIL风险增加有关。 IPH体积的定量可用于预测CAS术后的脑缺血事件。
论文截图如下:

摘要翻译系VPD原创,转载请注明出处
———— / END / ————
